Multimed 2025; 29: e3164

Caso clínico


Quiste de vesícula seminal. Reporte de caso

Seminal vesicle cyst. Case report

Cisto de vesícula seminal. Relato de caso


Yadira Matilla Villegas I https://orcid.org/0000-0002-9000-8182

Leonides Pernia Planas II https://orcid.org/0000-0001-5157-4811

Yosvani Aguila Rodríguez II* https://orcid.org/0000-0002-1376-3643


I Universidad de Ciencias Médicas de Granma. Hospital Pediátrico Provincial Hermanos Cordové. Manzanillo. Granma, Cuba.

II Hospital Clínico Quirúrgico Provincial Celia Sánchez Manduley. Manzanillo. Granma, Cuba.


*Autor para la correspondencia: yovarod@gmail.com


RESUMEN

Los quistes de las vesículas seminales constituyen una anomalía congénita urológica. Están presentes desde el nacimiento, pero se vuelven sintomáticos durante la segunda y la tercera década de vida. Paciente masculino de 5 años de edad acude por dolor abdominal leve a nivel de hipogastrio que aumenta en ocasiones con la defecación. Se le realiza ecografía donde se observó imagen ecolúcida, redondeada, de paredes bien definidas en relación a quiste de vesícula seminal. Se decidió como conducta terapéutica punción y drenaje por aspiración de la lesión. En cuanto a técnicas de imagen el patrón de oro es el estudio con Tomografía Axial Computarizada. Los tumores benignos de vesículas seminales son extremadamente raros en la infancia. Pueden pasar desapercibidos por los escasos síntomas que presentan. Las estrategias de tratamiento se han concentrado en la extirpación quirúrgica por vía laparoscópica como la mejor opción.

Palabras claves: Vesícula seminal; Quiste; Punción y drenaje.


ABSTRACT

Seminal vesicle cysts are a congenital urological anomaly. They are present from birth but become symptomatic during the second and third decades of life. A 5-year-old male patient presented with mild lower abdominal (hypogastric) pain, which occasionally increased during defecation. An ultrasound was performed, revealing an anechoic, rounded image with well-defined walls consistent with a seminal vesicle cyst. The chosen therapeutic approach was puncture and aspiration drainage of the lesion. Regarding imaging techniques, the gold standard is Computed Tomography (CT) scan. Benign seminal vesicle tumors are extremely rare in childhood and may go unnoticed due to the mild symptoms. Treatment strategies have focused on surgical removal via laparoscopy as the best option.

Keywords: Seminal vesicle; Cyst; Puncture and drainage.



RESUMO

Os cistos de vesícula seminal constituem uma anomalia urológica congênita. Estão presentes desde o nascimento, mas tornam-se sintomáticos durante a segunda e terceira décadas de vida. Paciente do sexo masculino, de 5 anos de idade, apresentou dor abdominal leve na região hipogástrica, que se intensificava ocasionalmente durante a evacuação. Foi realizada ultrassonografia, na qual se observou imagem anecoica, arredondada e de paredes bem definidas, compatível com cisto de vesícula seminal. Optou-se por punção e drenagem aspirativa da lesão como conduta terapêutica. Em relação às técnicas de imagem, o padrão-ouro é o estudo com Tomografia Computadorizada (TC). Tumores benignos das vesículas seminais são extremamente raros na infância e podem passar despercebidos devido aos poucos sintomas. As estratégias de tratamento têm se concentrado na remoção cirúrgica por laparoscopia como a melhor opção.

Palavras-chave: Vesícula seminal; Cisto; Punção e drenagem.



Recibido: 5/04/2025

Aprobado: 31/05/2025



Introducción

Los quistes de las vesículas son tumores benignos de infrecuente aparición, existe en la literatura científica sólo pequeñas series de casos publicadas. Las vesículas seminales son dos estructuras saculares y andrógeno-dependientes, situadas entre la vejiga y el recto, que se desarrollan en la pubertad y liberan líquido seminal durante la eyaculación. (1,2)

Los quistes de las vesículas seminales constituyen una anomalía congénita urológica, que junto con los quistes del conducto mulleriano, los del utrículo prostático, las dilataciones quísticas del conducto eyaculador, la ampolla deferencial y los quistes prostáticos, forman parte de los denominados quistes pélvicos profundos. (3)

Están presentes desde el nacimiento, pero se vuelven sintomáticos durante la segunda y la tercera década de vida, posiblemente porque es la etapa de mayor actividad sexual (momento en el que el líquido seminal se acumula en las vesículas seminales como consecuencia de un incompleto drenaje por la estenosis o la compresión de los conductos eyaculadores). Pueden presentarse en forma aislada o asociados con anomalías del tracto genital o de las vías urinarias superiores o renales, como enfermedad autosómica dominante del riñón poliquístico, agenesia o displasia renal. En general, se descubren accidentalmente, suelen provocar obstrucción intestinal o vesical por compresión como estreñimiento, dolor con la defecación, disuria o urgencia miccional. (4,5)

Debido a los escasos casos reportados en el país sobre el tema se asume como objetivo de este artículo, exponer la experiencia en un caso pediátrico no encontrado en la literatura actual, ya que no constituye una patología de diagnóstico frecuente en la infancia.



Caso clínico

Paciente masculino de 5 años de edad con antecedentes de haber sido operado a los 6 meses de edad por un tumor de Wilms por lo que se le realizó nefrectomía derecha. Acudió a consulta de seguimiento, pues refiere el familiar que viene presentado desde hace 2 meses dolor abdominal leve a nivel de hipogastrio que aumenta en ocasiones con la defecación. Al examen físico de los genitales se observa a nivel del pene meato uretral hipospádico con capuchón prepucial dorsal.

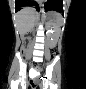
Se le realiza ecografía en la que se observó en proyección de hipogastrio imagen ecolúcida, redondeada, de paredes bien definidas, regulares de 32 x 29 mm en contacto con la pared posterior hacia el lado izquierdo que impresiona quiste de vesícula seminal. La tomografía axial computarizada demostró la ausencia de la unidad renal derecha por nefrectomía anterior, se evidencia imagen hipodensa, de paredes bien definidas, redondeada hacia la pared posterior izquierda de la vejiga (Figura 1) que no realza con el uso del contraste, en relación a quiste a nivel de la vesícula seminal izquierda que oscila entre 5-13UH (Figura 2 y 3). Se decidió como conducta terapéutica punción y drenaje por aspiración de la lesión. Se mantiene en seguimiento, hasta la fecha no se evidencia recidiva.


Fig. 1. Tomografía computarizada simple corte axial donde se evidencia la imagen hipodensa de aspecto quística en la cara posterior de la vejiga hacia su lado izquierdo.



Fig. 2. Tomografía contrastada corte coronal donde se observa la imagen hipodensa que no realza con el contraste utilizado.


Fig. 3. Tomografía contrastada corte sagital donde se observa la imagen antes descrita en cara posterior de la vejiga.



Discusión

Los síntomas más frecuentes corresponden a uropatía obstructiva baja principalmente aquellos relacionados con el llene vesical (disuria, frecuencia) y obstructivos, con o sin macrohematuria o hemospermia en adultos. (2)

Palomino en su estudio concuerda con varios autores con que la patología primaria es infrecuente, pero que los recientes avances en imágenes han aumentado su detección. (3) Es de suma importancia sospechar y buscar la posible existencia de otras anomalías congénitas asociadas, fundamentalmente urinarias, genitales, vasculares y óseas. (1,6) No se haya relación entre el quiste de vesícula seminal y el antecedente del Tumor de Wilms previo, en la literatura no se evidencia al respecto, pero si en anomalías genitales como la hipospadia presentada por el paciente.

En cuanto a técnicas de imagen el patrón de oro es el estudio con tomografía axial computarizada o resonancia magnética nuclear en los que lo más característico es el hallazgo de aumento de tamaño de las vesículas seminal. El urograma excretor y la cistouretrografía tienen escasa utilidad y brindan información indirecta, mientras que la cistoscopia determina la ausencia del orificio ureteral y/o del hemitrígono ipsilaterales. (2,6-8)

Valenzuela y col. plantean que el tratamiento actual de elección es la resección quirúrgica y dependerá de los hallazgos imagenológicos y biopsia transrectal, (2,7,9) no realizado en el presente caso por la edad del paciente y más que todo por decisión de los familiares con relación a la cirugía abierta. La mayoría de los autores reportan éxito endoscópico con regresión de los síntomas, la mayoría de los reportes son en adulto joven, sin relación con el presente estudio. Actualmente la cirugía laparoscópica ofrece una nueva alternativa menos invasiva para la escisión de estas lesiones. (7,9)



Conclusiones

Los tumores benignos de las vesículas seminales son extremadamente raros en la infancia. Pueden pasar desapercibidos por los escasos síntomas que presentan. Las estrategias de tratamiento se han concentrado en la extirpación quirúrgica por vía laparoscópica como la mejor opción. La punción de la lesión quística para drenaje terapéutico no está indicada por su alto índice de recurrencia.



Referencias bibliográficas

1. Andrade V, Pina J, Calais F, Campos Pinheiro L. Seminal Vesicle Calculi as a Cause of Hematospermia and Ejaculatory Pain: A Case Report. Cureus [Internet]. 2023 [citado 12/06/2025]; 15(7): e42547. Disponible en: https://pmc.ncbi.nlm.nih.gov/articles/PMC10460135/pdf/cureus-0015-00000042547.pdf .

2. Valenzuela Grau R, Kerkebe M, Farias J, Gomez L. Resolución laparoscópica de tumores de vesícula seminal: presentación de 2 casos y revisión de la literatura. Rev Chilena Urol [Internet]. 2018 [citado 3/03/2025]; 83(3): 27-30. Disponible en: https://revistasacademicas.cl/Upload/ArticulosPdf/schu_20210906095456_15a7774d-463d-4a58-a56e-3a4265ac28ba.pdf .

3. Palomino García DM, Núñez Guevara DS, Rodríguez Jiménez A. Patología infrecuente de quiste de vesicula seminal. 2 de Diciembre [Internet]. 2018 [citado 3/03/2025]; 1(1): 57-62. Disponible en: https://revdosdic.sld.cu/index.php/revdosdic/article/view/8 .

4. Lainé-Caroff P, Meria P, Bruyere F, Giwerc A. Patología de las vesículas seminales. EMC Urología [Internet]. 2021 [citado 3/03/2025]; 53(4):1-9. Disponible en: https://doi.org/10.1016/S1761-3310(21)45730-0 .

5. Palacios-Rosas E, Torres-Razo A, Enríquez-González EA. Revisión sistemática del síndrome de Zinner. Revista Mexicana de Urología [Internet]. 2024 [citado 8/03/2025]; 84(1): e04. Disponible en: https://www.scielo.org.mx/scielo.php?script=sci_arttextHYPERLINK "http://www.scielo.org.mx/scielo.php?script=sci_arttext&pid=S2007-40852024000100004&lng=es"&HYPERLINK "http://www.scielo.org.mx/scielo.php?script=sci_arttext&pid=S2007-40852024000100004&lng=es"pid=S2007-40852024000100004HYPERLINK "http://www.scielo.org.mx/scielo.php?script=sci_arttext&pid=S2007-40852024000100004&lng=es"&HYPERLINK "http://www.scielo.org.mx/scielo.php?script=sci_arttext&pid=S2007-40852024000100004&lng=es"lng=es .

6. Arteche Arnaiz I, Urresola Olabarrieta A, Ezquerro Imas AI, Larburu Zabala S, Prada San Martin L, García Balaguer S, et al. Patología de las vesículas seminales y revisión de casos de nuestro centro. Seram [Internet]. 2024 [citado /03/2025]; 1(1). Disponible en: https://www.piper.espacio-seram.com/index.php/seram/article/view/10169 .

7. Gu Z, Sun L, Zhang W, Geng J, Jiang L, Chen Y. Surgical treatment of giant seminal vesicle cyst with ureteral compression: a case report. Front Surg [Internet]. 2025 [citado 3/03/2025]; 12: 1503368. Disponible en: https://pmc.ncbi.nlm.nih.gov/articles/PMC11911343/pdf/fsurg-12-1503368.pdf .

8. Skandhan A, Knipe H, El-Feky M. Seminal vesicle cyst. Reference article. Radiopaedia.org [Internet]. 2025 [citado 10/03/2025]. Disponible en: https://radiopaedia.org/articles/seminal-vesicle-cyst-1?lang=us .

9. Gupta V, Khan RK, Kumar LP. Zinner syndrome: A mesonephric duct anomaly with renal agenesis, ipsilateral seminal vesicle cyst, and ejaculatory duct obstruction. Med J Armed Forces India [Internet]. 2024 [citado 10/03/2025]; 80(Suppl 1): S238-S42. Disponible en: https://doi.org/10.1016/j.mjafi.2022.05.012 .



Conflicto de intereses

Los autores declaran no tener conflictos de intereses.


Contribución de autoría

Conceptualización, curación de datos y análisis formal: Yadira Matilla Villegas, Yosvani Aguila Rodríguez.

Investigación, Visualización: Yosvani Aguila Rodriguez, Yadira Matilla Villegas.

Metodología: Yosvani Aguila Rodríguez, Leonides Pernia Plana.

Supervisión y validación: Yadira Matilla Villegas, Leonides Pernia Plana.

Redacción: Yosvani Aguila Rodríguez.

Borrador original: Yadira Matilla Villegas.

Redacción revisión y edición: Yadira Matilla Villegas, Yosvani Aguila Rodríguez.