Multimed 2025; 29: e3117

Caso clínico


Quiste aracnoideoretrocerebeloso de línea media en un adulto joven. Presentación de caso


Alexis GamboaNúñezI* https://orcid.org/0000-0002-1399-0643

Jorge Luis Hernández CamejoII https://orcid.org/0009-0002-7605-8447

Orlando David Castro OrtizII https://orcid.org/0009-0002-6174-9931


I Universidad de Ciencias Médicas de Granma. Hospital Provincial General Carlos Manuel de Céspedes. Bayamo. Granma, Cuba.

IIFacultad de Ciencias Médicas BayamoDr. Efraín Benítez Popa. Bayamo. Granma, Cuba.


* Autor para la correspondencia:E-mail:sngranma@gmail.com


RESUMEN

Introducción: los quistes aracnoideos son colecciones extraaxiales benignas que contienen un líquido indistinguible del líquido cefalorraquídeo. Constituyen el 1 % de los procesos expansivos intracraneales no traumáticos. La mayoría son de localización supratentorial, se diagnostican de forma incidental durante la infancia y no producen manifestaciones clínicas.

Presentación de caso: paciente femenina de 27 años de edad con cuadro de cefalea. Esta se acompañaba de pérdida de la visión e inestabilidad para la marcha. Al examen físico presentaba ataxia troncal, aumento del plano de sustentación y papiledema incipiente. El estudio de tomografía axial computarizada (TAC) simple y contrastada de cráneo mostró una lesión ocupante de espacio retrocerebelosa, de aspecto quístico, sin captación de contraste y con efecto de masa provocando hidrocefalia obstructiva. Se planteó el diagnóstico de quiste aracnoideo. Fue intervenida quirúrgicamente. Se realizó fenestración, resección parcial de las paredes y comunicación del quiste con el espacio subaracnoideo. Las manifestaciones desaparecieron posteriormente a la cirugía. La TAC evolutiva mostró la desaparición de quiste. La paciente evolucionó favorablemente sin complicaciones. El estudio antomopatológico corroboró el diagnóstico de quiste aracnoideo. No recurrencia de la lesión.

Conclusiones: si bienla mayoría de los pacientes con quistes aracnoideos permanecen asintomáticos, algunos pueden presentar manifestaciones complejas en dependencia de la localización y el tamaño de la lesión. Los quistes infratentoriales con frecuencia producen hidrocefalia con hipertensión intracraneal secundaria. Para el diagnóstico diferencial se deben considerar otras lesiones quísticas. Aunque las técnicas endoscópicas son la referencia en la actualidad, la cirugía cielo abierto sigue siendo efectiva en el tratamiento de estas lesiones.

Palabras claves: Quiste Aracnoideo; Infratentorial; Ataxia; Papiledema; Hidrocefalia; Fenestración


ABSTRACT

Introduction: Arachnoid cysts are benign extra-axial collections containing fluid that is indistinguishable from cerebrospinal fluid. They account for 1% of non-traumatic intracranial space-occupying lesions. Most are located supratentorially, are diagnosed incidentally during childhood, and do not produce clinical symptoms.

Case presentation: A 27-year-old female patient presented with headache, accompanied by visual loss and gait instability. Physical examination revealed truncal ataxia, a widened base of support, and incipient papilledema. A simple and contrast-enhanced computed tomography (CT) scan of the brain showed a retrocerebellar space-occupying lesion with cystic appearance, no contrast enhancement, and a mass effect causing obstructive hydrocephalus. A diagnosis of arachnoid cyst was considered. She underwent surgery, including fenestration, partial resection of the cyst walls, and communication with the subarachnoid space. Symptoms resolved after surgery. Follow-up CT showed disappearance of the cyst. The patient recovered favorably without complications. Pathological study confirmed the diagnosis of arachnoid cyst. No recurrence was observed.

Conclusions: Although most patients with arachnoid cysts remain asymptomatic, some may present complex symptoms depending on the location and size of the lesion. Infratentorial cysts frequently cause hydrocephalus with secondary intracranial hypertension. Differential diagnosis should include other cystic lesions. Although endoscopic techniques are currently the standard, open surgery remains effective for treating these lesions.

Keywords: Arachnoid Cyst; Infratentorial; Ataxia; Papilledema; Hydrocephalus; Fenestration

RESUMO

Introdução: Os cistos aracnoides sãocoleções extra-axiais benignas que contêmum líquido indistinguível do líquor. Representam 1% das lesões expansivas intracranianasnão traumáticas. A maioria está localizada supratentorialmente, é diagnosticada incidentalmente nainfância e nãoproduzmanifestações clínicas.

Relato de caso: Paciente do sexo feminino, 27 anos, comquadro de cefaleia, perda de visão e instabilidadeaocaminhar. Aoexame físico, apresentava ataxia troncal, aumento da base de sustentação e papiledema incipiente. A tomografia computadorizada (TC) de crânio simples e com contraste reveloulesãoretrocerebelarcom aspecto cístico, semcaptação de contraste, comefeito de massa causando hidrocefalia obstrutiva. Suspeitou-se de cistoaracnoide. A paciente foisubmetida a cirurgiacomfenestração, ressecção parcial das paredes e comunicação do cistocom o espaçosubaracnoide. Após o procedimento, os sintomasdesapareceram. A TC evolutiva mostroudesaparecimento do cisto. A paciente evoluiubem, semcomplicações. O exameanatomopatológicoconfirmou o diagnóstico de cistoaracnoide. Nãohouverecorrência da lesão.

Conclusões: Embora a maioria dos pacientes comcistos aracnoides permaneçaassintomática, algunspodemapresentarmanifestações complexas dependendo da localização e do tamanho da lesão. Cistosinfratentoriaisfrequentementecausam hidrocefalia comhipertensãointracranianasecundária. Outraslesões císticas devem ser consideradas no diagnóstico diferencial. Apesar das técnicas endoscópicas serematualmente o padrão, a cirurgiaaberta continua eficaz no tratamentodessaslesões.

Palavras-chave: CistoAracnoide; Infratentorial; Ataxia; Papiledema; Hidrocefalia; Fenestração


Recibido: 2025/01/25

Aprobado: 2025/08/26



Introducción

Los quistes aracnoideos son colecciones extraaxiales benignas, intraaracnoideas, de paredes formadas por membranas aracnoideas engrosadas y contienen en su interior un líquido indistinguible del líquido cefalorraquídeo (LCR). Ellos representan aproximadamente el 1 % de todos los procesos expansivos intracraneales no traumáticos.(1) La mayoría son de origen congénito, los verdaderos quistes aracnoideos, y son el resultado de alteraciones en el desarrollo de la aracnoides.(1,2) Algunos se desarrollan como resultado de otras lesiones y son llamados quistes aracnoideos secundarios. (1-4)

En cuanto a las teorías que explican la formación de estas lesiones, la teoría embrionaria es la más aceptada.(1,4)También se mencionan los plegamientos y engrosamientos de la aracnoides, la asociación con enfermedades genéticas hereditarias, (1) la hipoplasia encefálica focal, las alteraciones en la secreción de sustancias del espacio subaracnoideo (ESA) al sistema venoso,(4) la ruptura o desgarro de la materia aracnoidea durante la gestación, así como el atrapamiento de restos de plexo coroideo, granulaciones aracnoideas o neuroepitelio. (1)

Las manifestaciones clínicas de los pacientes dependen fundamentalmente de su edad y de la localización del quiste. En adultos pueden presentarse con un episodio convulsivo, trastornos del equilibrio y la marcha, manifestaciones de hipertensión intracraneal (HIC), alteraciones auditivas, alteraciones visuales y vértigo. El diagnóstico se puede realizar de forma prenatal mediante la ecografía. En neonatos y lactantes la ecografía transfontanelar es un método fiable. La tomografía axial computarizada (TAC) permite definir la localización del quiste, su relación con estructuras neurovasculares, la presencia de hidrocefalia y el grado de compresión resultado de la lesión. En la actualidad la Resonancia Magnética Nuclear (RMN) es el método diagnóstico de elección. (1-4) El tratamiento se divide en dos grandes modalidades: conservador para los pacientes asintomáticos y quirúrgico para los que presentan manifestaciones clínicas. (1,4,5)

Este artículo tiene como objetivo presentar a la comunidad científica y discutir los elementos fundamentales de un caso quirúrgico de quiste aracnoideo intracraneal.

Este artículo servirá de referencia para el manejo de esta enfermedad pues se discuten los elementos fundamentales de la misma. Se reporta un caso quirúrgico de una enfermedad poco frecuente y que la mayoría de las veces resulta asintomática sin necesidad de tratamiento. Se trata de un caso exitoso tratado sin la utilización de técnicas quirúrgicas avanzadas y con resolución postquirúrgica total de las manifestaciones clínicas y desaparición de la lesión.


Presentación de caso

Historia de la enfermedad actual

Paciente femenina de 27 años de edad, manualidad diestra, raza mestiza, procedencia urbana, con antecedentes de salud aparente. Llegó a consulta de urgencias con cuadro de cuatro semanas de evolución quejándose de cefalea holocraneal, pulsátil, que se intensificaba con el esfuerzo físico y de difícil control con analgésicos (paracetamol y dipirona). Se asociaba a esta la pérdida de visión e inestabilidad para la marcha. No presentó desorientación, fiebre, convulsiones, pérdida de memoria ni de fuerza muscular. No antecedentes familiares relevantes.

Examen físicopositivo

TA: 120/80 mmHg, FC: 83 latidos por minuto, FR: 15 respiraciones por minuto. Facie dolorosa. Consciente. Orientada en tiempo, espacio y persona. Lenguaje claro y coherente. Atención y memoria conservadas. No déficit motor de vías largas. No rigidez de nuca. Pupilas isocóricas y fotorreactivas, ataxia troncal, aumento del plano de sustentación y papiledema incipiente. No otro signo de focalización neurológica. EGC 15/15 puntos

Evaluación diagnóstica

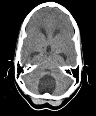
Se realizaron estudios hematológicos que no mostraron alteraciones: hemoglobina 115 g/l, leucograma 6.5x109/l, velocidad de eritrosedimentación 10 mm/h, conteo de plaquetas 250x109/l. Se realizó estudio de TAC simple y contrastada de cráneo (Figura 1) que mostró la presencia de una lesión ocupativa de espacio (LOE) infratentorial, en línea media, retrocerebelosa, de 42x37 mm de diámetro, hipodensa con atenuación LCR (10 UH), bordes regulares y bien delimitados, con efecto de masa pues ejercía compresión y desplazaba el IV ventrículo anteriormente generando hidrocefalia obstructiva. No había presencia de edema perilesional, ni se observaba lesión nodular. No se observó captación tras la administración de contraste. No se realizó estudio de RMN de cráneo por no disponibilidad.


Fig.1. TAC simple de cráneo. LOE quística de fosa posterior. Hidrocefalia obstructiva.


Se realizó el diagnóstico diferencial con otras lesiones quísticas de fosa posterior. Se descartó la posibilidad de una lesión neoplásica: no son frecuentes en la edad de la paciente, la lesión no presentaba nódulo mural, edema asociado ni captaba contraste. Se descartó la megacisterna magna pues no cursa con hidrocefalia y el Síndrome de Dandy-Walker pues no existía dilatación quística del IV ventrículo ni agenesia del vermis cerebeloso. Se planteó como diagnóstico presuntivo el quiste aracnoideoinfratentorialretrocerebeloso de línea media.

Intervención terapéutica

Se decidió ingresar la paciente en servicio de Neurocirugía. Teniendo en cuenta la estabilidad clínica y hemodinámica se administró acetazolamida 250 mg VO cada 8 horas. Al día siguiente fue intervenida quirúrgicamente. Se realizó un abordaje suboccipital medial mediante craneotomía osteoclásticasuboccipital bilateral (Figura 2) con paciente en decúbito prono. Se realizó una durotomía en forma de Y con electrocoagulación del seno occipital. Una vez expuesta la superficie occipital de los hemisferios cerebelosos se constató la presencia de la lesión quística en línea media, de pared delgada y transparente. (Figura 3) Se realizó la fenestración del quiste con evacuación de contenido líquido transparente e incoloro, resección parcial de sus paredes posterolaterales y comunicación con el espacio subaracnoideo. (Figura 4)


Fig. 2. Marcaje de la incisión occípito-cervical en línea media (izquierda). Exposición de la superficie externa de la escama occipital (centro). Craneotomía osteoclásticasuboccipital bilateral (derecha).


Fig.3.Durotomía en Y. Puntos de tracción dural. Superficie occipital de hemisferios cerebelosos lateralmente y quiste aracnoideo al centro.




Fig. 4.Fenestración del quiste con resección parcial de su pared posterolateral (izquierda). Cavidad luego de la resección (derecha).


Seguimiento y resultados

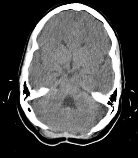
La evolución postquirúrgica fue favorable con regresión de las manifestaciones y sin complicaciones. En estudios de neuroimagen postquirúrgicos se constató la desaparición del quiste, la descompresión de las estructuras de fosa posterior y la restitución de la dinámica del LCR sin hidrocefalia. (Figura 5) Se logró su reintegración a la sociedad. En el seguimiento en consulta no se ha evidenciado recurrencia del quiste.


Fig.5. TAC simple de cráneo postoperatoria. Desaparición de la lesión. No hidrocefalia.


Aspectos éticos

En el estudio se aplicaron los códigos de ética postulados en la declaración de Helsinki y Nüremberg. Se protegió la confidencialidad de los datos y no se realizó ninguna maniobra terapéutica experimental.


Discusión

La primera descripción de quites aracnoideos cerebrales fue realizada en 1831 por Richard Bright, quien los describió como quistes serosos en conexión con la aracnoides. Los quistes aracnoideos primarios (congénitos) están presentes al momento de nacer y son el resultado de alteraciones en el desarrollo del cerebro ocurridas durante las primeras semanas de gestación.(1,4,6,7) La teoría embrionaria explica que al producirse la disección hídrica (proceso normal del desarrollo de la aracnoides) existe una separación incompleta dentro del mesodermo. Esto provoca la formación de compartimientos aislados delimitados por septos intraaracnoideos. En estos compartimientos queda atrapado el LCR. (1,4) Esta es la teoría de formación de los quistes aracnoideos más aceptada y ofrece una explicación para el origen de estos en casi todas las localizaciones, incluido el caso presentado.

Otra teoría, que también podría explicar la aparición de la lesión en este caso, es la hipoplasia encefálica focal. Según esta, el ESA ocupa el espacio cedido por una zona de tejido encefálico que no se desarrolla con normalidad. Una expresión de esto es el hecho de que tras la evacuación del contenido quístico no exista un colapso de la cavidad, muestra de que el cerebro circundante puede estar hipoplásico. Además, los quistes gigantes de fosa posterior se acompañan de tentorio, seno recto y tórcula elevados.(1,4) En el presente caso no observamos un colapso inmediato de la cavidad tras la descompresión. Sin embargo, la restitución de la circulación de LCR y la desaparición de la cavidad postquirúrgica observadas luego de la cirugía son muestra de que existía un efecto compresivo, independientemente de la posibilidad de hipoplasia del tejido cerebeloso circundante.

Aproximadamente dos tercios de los quistes aracnoideos intracraneales se localizan en el espacio supratentorial, la mayoría de ellos en la fosa temporal. En el caso analizado se trata de una lesión ubicada en la fosa posterior, donde asienta el tercio restante. En este último compartimento son más frecuentes los localizados en relación con el vermis y cisterna magna (hasta 12 % del total). También se pueden localizar en orden descendente de frecuencia en: ángulo pontocerebeloso, lámina cuadrigémina y espacio prepontino.(1)

La mayoría son diagnosticados en las dos primeras décadas de la vida, sobre todo en los dos primeros años y la edad preescolar. Hay un predominio en el sexo masculino (los hombres tienen cuatro veces más posibilidades de tener quistes aracnoideos que las mujeres.(1,2,8) El diagnóstico se hace casi siempre de forma incidental.(1,2) En el adulto existe también una mayor prevalencia en el sexo masculino. En esta edad los quistes aracnoideos de fosa media son los más frecuentes y predominan en el lado izquierdo. El gran desarrollo tecnológico de los últimos años y el acceso cada vez mayor a los estudios de imágenes (TAC y RMN) han llevado a un aumento en el diagnóstico de quistes aracnoideos. En consecuencia, algunos autores consideran que estos constituyen un porcentaje mayor que el 1 % de las lesiones ocupantes de espacio intracraneales.(9)

Se presenta un caso de quiste aracnoideoinfratentorial sintomático en una mujer joven. Partiendo del hecho de que son consideradas lesiones congénitas, y que los síntomas se producen en esencia por irritación y/o compresión de las estructuras adyacentes, se plantea que se produjo un crecimiento del quiste en el caso en cuestión. Existen varios mecanismos que explican este fenómeno. El más aceptado, demostrado in vivo, es el mecanismo valvular: entrada de líquido desde el ESA al quiste (durante la sístole cardiaca) sin salida.(1,4,8) En este caso no se descarta la posibilidad de que un evento externo causara la descompensación de la lesión, ya sea mediante la activación de cualquiera de los mecanismos de crecimiento o causando la pérdida de la comunicación del quiste con el ESA. En todo caso, el conflicto de espacio en la fosa posterior no era antiguo: no existía huella de deformidad ósea y la paciente estaba asintomática.

La mayoría de los quistes aracnoideos permanece estable durante toda la vida.(1-7) Es inusual que un quiste diagnosticado incidentalmente en el adulto crezca o produzca algún síntoma. (9) La aparición de síntomas secundarios a quistes aracnoideosinfratentoriales no es frecuente en jóvenes ni en adultos.(8) En el adulto los síntomas y signos pueden ser difíciles de relacionar con el propio quiste y dependen, como se mencionó anteriormente, de su localización.(1-4) En el caso analizado se produjo una compresión con desplazamiento anterior y lateral de las estructuras infratentoriales (cerebelo y IV ventrículo). La compresión del IV ventrículo fue la causa de una obstrucción en la circulación del LCR y la consiguiente hidrocefalia. La compresión principalmente del vermis cerebeloso originó las alteraciones posturales y de la marcha. Estas son las manifestaciones más comunes de un quiste aracnoideo de fosa posterior.(1,4,9)

El aspecto en RMN es similar al del LCR tanto en secuencias T1 como T2. (1) Algunos expertos afirman que se ha podido observar con RM el movimiento pulsátil del LCR en el quiste. El empleo de cinerresonancia permite observar los flujos de LCR entre el ESA y el interior del quiste.(1,8) Este estudio ofrece una información más detallada de las relaciones anatómicas y el tamaño del quiste, así como del estado de las estructuras adyacentes.(1,2,4,8)

Aunque en la actualidad la RMN es el método diagnóstico de elección de los quistes aracnoideos,(1,2,4,8) la TAC simple y contrastada de cráneo es una herramienta imprescindible y suficiente para el diagnóstico. En la TAC los quistes son casi siempre extraaxiales, de densidad LCR y no captan contraste. Este estudio permite identificar deformidades óseas asociadas, la compresión de estructuras neurovasculares adyacentes o la presencia de hidrocefalia.(1,4) Es un estudio rápido que permite la toma de decisiones inmediata.

En el caso presentado no se realizó RMN por no estar disponible el estudio. Se realizó un estudio simple y contrastado de TAC de cráneo. Se realizó el diagnóstico diferencial teniendo en cuenta los antecedentes de la paciente y las características imagenológicas de la lesión. Se consideraron tanto quistes congénitos (megacisterna magna, quiste epidermoide, síndrome de Dandy-Walker) como adquiridos (astrocitoma, quistes hidatídico, cisticercosis, quiste porencefálico). El diagnóstico presuntivo fue corroborado finalmente con el estudio anatomopatológico.

El tratamiento conservador con seguimiento imagenológico periódico está destinado para los pacientes asintomáticos. La cirugía tiene como objetivo el control o desaparición de la sintomatología, aunque no se logre curar el tamaño del quiste. Existen varias técnicas quirúrgicas: la punción y evacuación, resección de las paredes, la fenestración del quiste y la derivación. Todas las técnicas quirúrgicas se pueden realizar a cielo abierto o con soporte endoscópico. El tratamiento endoscópico permite una invasión mínima de las estructuras intracraneales. Es considerado por muchos como el procedimiento de elección al tener ventajas similares a las técnicas invasivas.(1-11)

En la decisión de cuál técnica utilizar pesan las características de la lesión y la preferencia y experiencia del neurocirujano.(1,4) Al no estar disponibles las técnicas mínimamente invasivas, se utilizó el abordaje directo con fenestración y resección de las paredes posterolaterales del quiste. Se preservó la pared anterior del quiste al estar adherida al tejido cerebeloso para evitar el potencial daño neurovascular. Esta técnica permitió comunicar el quiste con las vías fisiológicas de circulación del LCR, minimizar la posibilidad de recidiva y lograr la descompresión de las estructuras vecinas.


Conclusiones

Aunque la mayoría permanece estable toda la vida, algunos quistes producen manifestaciones clínicas complejas. Estas varían en dependencia de la edad del paciente, la topografía y el tamaño del quiste. La TAC y la RMN son los estudios de oro para el diagnóstico de estas lesiones. El tratamiento quirúrgico está reservado para los quistes sintomáticos. A pesar de que en la actualidad son de preferencia las técnicas endoscópicas, la cirugía a cielo abierto es una opción eficaz y efectiva para el tratamiento quirúrgico de los quistes aracnoideos.


Referenciasbibliográficas

1. Kanev PM, Ghatan S. Arachnoid Cysts in Childhood. En: Youmans JR, Winn HR. Neurological Surgery. 8. ed. V. 4.Ámsterdam: Elsevier; 2023.

2. Silva MA, Chang H, Weng J, Hernandez NE, Shah AH, Wang S, et al. Surgical management of quadrigeminal cistern arachnoid cysts: case series and literature review. J NeurosurgPediatr[Internet] 2022 [citado 24/01/2024]; 29(4): 427–34. doi: 10.3171/2021.11.PEDS21497

3. Mohammadi B, Neyazi A, QaderAQ, Razaqi N, Afzali H, Neyazi M. Arachnoid cyst in the quadrigeminal cistern: A case from Afghanistan. Radiol Case Rep [Internet]. 2024 Mar [citado 26 /08/2025];19(5):2067-71. Disponible en: https://pmc.ncbi.nlm.nih.gov/articles/PMC10958130/pdf/main.pdf

4. Goyenechea F, Pereira R. Lesiones del sistema nervioso central. t.1. La Habana: Ciencias Médicas, 2014.

5. Soleman J, Kozyrev DA, Constantini S, Roth J. Surgical treatment and outcome of posterior fossa arachnoid cysts in infants. J NeurosurgPediatr [Internet]. 2021 Aug [citado 26/08/2025];28(5):544-52. doi: 10.3171/2021.5.PEDS21119

6. AljubourRM, Haddad FK, Alkhawaldeh HM, Alzoubi MT, Alnjeiden AA, Safi AS, et al. Surgical management of brain arachnoid cysts (Single institute experience). RMS [Internet] 2022 [citado 23/06/2025]; 29 (2).Disponible en: http://rmsjournal.org/ArticlesView.aspx?ArticleId=1018

7. Hong S, Pae J, Ko HS. Fetal arachnoid cyst: characteristics, management in pregnancy, and neurodevelopmental outcomes. ObstetGynecolSci [Internet]. 2023 Mar [citado 26/08/2025];66(2):49-57. doi: 10.5468/ogs.22113

8. Wang JY, Hadi H, Arshad M, Whitney E. A Comprehensive Review of Arachnoid Cysts. Cureus [Internet]. 2025 May [citado 26/08/2025];17(5):e83894. doi: 10.7759/cureus.83894.

9. Al-HolouWN, Terman S, Kilburg C, GartonHJ, Muraszko KM, Maher CO. Prevalence and natural history of arachnoid cysts in adults. J Neurosurg [Internet] 2013 [citado27/01/2025]; 118(2): 222-31. Disponible en: https://doi.org/10.3171/2012.10.JNS12548

10. El Damaty A, Issa M, Paggetti F, Seitz A, Unterberg A. Intracranial arachnoid cysts: What is the appropriate surgical technique? A retrospective comparative study with 61 pediatric patients. World Neurosurgery X [Internet] 2023 [citado 24 /01/2025]; 19: 100195. DOI: 10.1016/j.wnsx.2023.100195

11. Lockard GM, Piper K, George Z, Alayli A, Neal E, Klocksieben F, et al. Symptomatic and Radiographic Improvement Following Surgery for Posterior Fossa Arachnoid Cysts: Meta-Analysis and Literature Review. WorldNeurosurgery [Internet] 2024 [citado el 24/01/ 2025]; 192: e163- e71. DOI: 10.1016/j.wneu.2024.09.061


Conflicto de intereses

Los autores declaran no tener conflictos de intereses.

Contribución de autoría

Conceptualización, curación de datos y análisis formal: Alexis Gamboa Núñez.

Investigación, Visualización: Alexis Gamboa Núñez, Jorge Luis Hernández Camejo, Orlando David Castro Ortiz.

Metodología: Alexis Gamboa Núñez.

Supervisión y validación: Alexis Gamboa Núñez.

Redacción: Alexis Gamboa Núñez, Jorge Luis Hernández Camejo, Orlando David Castro Ortiz.

Borrador original: Alexis Gamboa Núñez, Jorge Luis Hernández Camejo, Orlando David Castro Ortiz.

Redacción revisión y edición: Alexis Gamboa Núñez.